「入れ歯」という言葉からどんなことをイメージされますか?たとえば小さい頃おじいちゃんやおばあちゃんが口の中に大きな入れ歯を入れたり外したりしているのを見たり、「入れ歯だから固いものは食べられない」とか、その他にも「入れ歯だから◯◯できない・・」といろいろ聞いたりされたこともあるかもしれません。
入れ歯に満足できない人はとても多い
当院に来院される患者さまは、初めて入れ歯をお作りになる方もいらっしゃいますが、今まで使っていた入れ歯をお持ちの方もたくさんいらっしゃいます。
すでに入れ歯をお持ちの方にお話をお伺いすると、冒頭のように入れ歯になったことでできないことが増えたという印象をお持ちで、入れ歯にご不満の方も少なくありません。
実際にお口の中と入れ歯を拝見すると、歯がなくなってしまった理由を解決しないままに、歯がなくなった場所にとりあえず人工の歯をいれておきました、という状況が多いように感じられます。これだと満足できないのも仕方ありません。
入れ歯を製作した歯科医師を否定する趣旨ではありません。そのときにできる治療は100%されていると思います。一方でいい入れ歯を製作するにはどうしても専門の研鑽が必要なため、すべての歯科医師がいい入れ歯をつくるのは現実問題として難しい、ということをご理解頂ければと思います。
入れ歯は失われた機能を回復させる高度な人工臓器
歯がなくなることで、咬めない、しゃべりにくい、というお口の機能が制限された状態になります。入れ歯には、その失われた機能を回復させる人工臓器としての役割があります。
義手は手の機能を、義足は足の機能を、義歯(入れ歯)は歯の機能を補うものです。
義手も義足の世界も「とりあえず元の手や足と同じくらいの大きさでつくっておきました」という治療ではうまくいくことは少ないと思います。
入れ歯も同じように機能回復までを意識したものでないと、患者さまに満足してもらえる入れ歯をつくることは絶対にできません。
いい入れ歯は歯科医師に①「歯がなくなった理由」の診断と、②「咬み合わせ」の深い理解・研鑽が必須
さらに歯がなくってしまった理由の診断も重要です。
歯がなくなってしまうのには必ず理由があります。主には歯周病と歯根破折(歯の根にヒビが入ること)ですが、どうしてそうなってしまったのかについてしっかり把握してから治療しないと、何回入れ歯を作り直しても満足できないものとなります。
さらに原因を把握できても、咬み合わせについての深い理解がないままに入れ歯を製作しても同じことが起きてしまいます。
入れ歯による不満の具体例
① 下の歯が1本無くなってしまった状態で長年過ごしてしまう
② ①の歯の上の歯が下に伸びてくる(人間の体の不思議。咬む相手の歯がいなくなると伸びてくる。)
③ ②を解消しないままに①の部分に入れ歯をつくる
④ 当然咬み合わせが合わないため、外れる、痛い、咬めない、しゃべれないといったことが起きる
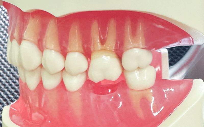
▼右から2番目の下の歯がなくなって、上の歯が下に伸びてきた状態です(模型)。▼

矯正が必要な場合は、矯正専門医も治療に参加します
咬み合わせを検討した結果、歯を少し動かした方がいいという判断になれば、当院の矯正専門医が治療に加わることもあります。
歯科医師の精密な設計図をもとに、クオリティ高く形にできる歯科技工士の存在
もしかしたらご存知かもしれませんが、入れ歯は歯科医師だけではつくることができません。
もちろん患者さんを診察し、患者さんのお口の中の状況を正確に診査し、どういった入れ歯をつくるべきかを判断するのは歯科医師ですが、その設計に合わせて実際に入れ歯をつくるのは「歯科技工士」と呼ばれる国家資格をもつ方です。
当院では、国内トップクラスの歯科技工士に入れ歯製作を担当してもらっています。
一般的な入れ歯は安定させるために、主張が強いというか存在感が大きい入れ歯になることが多いのですが、当院の歯科技工士が作る入れ歯は、繊細で、必要最小限の大きさでお口の動きが制限されず、とてもスマートです。
歯科医師の緻密な要求にもしっかり応えてもらえるので、とても信頼している職人です。
既製品の服とオーダーメイドの服どちらをご希望ですか?また普通の仕立て屋さん、日本一の仕立て屋さん、世界一の仕立て屋さん、誰につくってもらいたいですか?
当院では、入れ歯はすべて自費治療となります。
洋服に例えると、既製品の服(保険治療)で体にピッタリフィットする方は、既製品でも十分かもしれません。
ただ既製品ではどうしても体に合わない方、あるいは体のラインも美しく見え、動きやすく、生地も上質という服を望まれる場合は、やはりオーダーメイドの服(自費治療)にならざるを得ません。
その上でオーダーメイドであれば、街の仕立て屋さんでも日本一の仕立て屋さんでも世界一の仕立て屋さんでも同じ洋服ができるでしょうか。
生地や糸は同じものを扱えたとしても、出来上がりは違うと思います。それはなぜでしょうか?
おそらくお客さまの身長体重はもちろん、姿勢、利き腕、左右の腕の動かし方、バッグの持ち方、その他たくさんのチェックポイントがあり、それらにひとつずつ丁寧に合わせた仕立てになっているからだと思います。
入れ歯もまったく同じです。これまでの研鑽や経験の積み重ねの上でご提供できる当院の入れ歯に満足していただけると思います。
最後に
まずは一度、お口の状態を拝見させてください。もちろんご要望をしっかりお伺いして、どのような入れ歯が最適か丁寧にご説明いたします。


